Solutions IRM & Scanner avancées pour vétérinaires et chercheurs
Une solution unique de bout en bout exclusivement conçue pour les animaux
Soins de santé, plus efficaces, plus durables, en toute transparence
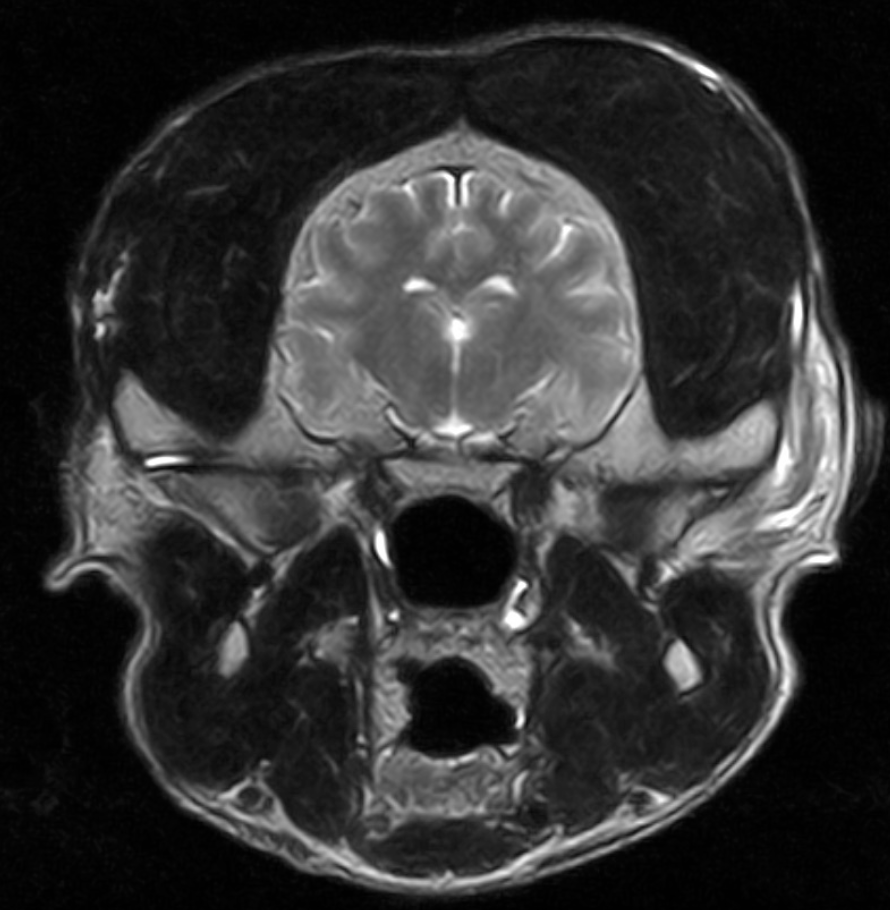
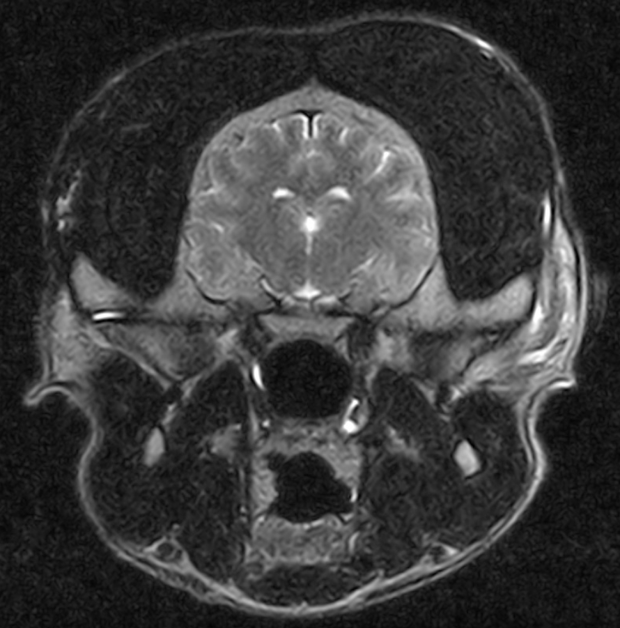
Les images IRM sont 30% plus nettes, avec un fonctionnement plus rapide grâce à notre centre de compétence IRM à distance, entièrement intégré avec un partenaire de télé-radiologie de votre choix.
Amélioration du retour sur investissement grâce à une expertise avancée en matière d'IRM, à une efficacité accrue et à une réduction des coûts liés aux animaux.
Rendez l'IRM plus accessible grâce à l'expertise à distance de HawkCell : tout type d'IRM, tout pays, toute application.
Une solution unique de bout en bout exclusivement développée pour les animaux, avec des temps d'anesthésie plus courts et des émissions de CO2 réduites.

Une solution prête à l'emploi
Améliorez les performances de votre IRM en un seul clic, pour un coût minime.
Nous poussons l’IRM au-delà de tout ce que vous avez vu auparavant. HawkAI, Notre algorithme d’IA réduit le temps d’acquisition tout en offrant une qualité d’image inégalée.
Une imagerie plus intelligente avec HawkCT. Optimisez vos scanners avec moins de rayonnements et des coûts réduits, tout en améliorant le contraste des tissus mous et la netteté des images.
Réduisez le temps d’anesthésie et les risques grâce à HawkSpine, notre positionneur d’animaux breveté.
Notre gamme sera bientôt complétée par des par des capteurs de la colonne vertébrale dédiées aux animaux.
Accédez à HawkExpertise, notre expertise unique pour exploiter tout le potentiel de votre IRM, que ce soit dans vos locaux (centre de compétences) ou à distance. Nous proposons des formations sur site, l’optimisation des protocoles et des solutions d’IRM à distance.
Avec nous, ces vétérinaires et laboratoires de recherche préclinique mènent la marche vers l’avenir de la santé






















