Skip to content
Home
Activities
Veterinarians
Researchers
Our products and services
HawkCBCT
HawkCT
HawkAI for Veterinarians
HawkAI for Researchers
HawkProtocols
HawkSpine
HawkExpertise
For CRO
For BioTech / MedTech
Resources
Case studies
Scientific papers
Articles
Contact
Company
About us
Team members
News and activities
Events
Careers
FR
Schedule a demo
Get
20%
off by applying the promo code "
HAWKSPINE20
" at checkout on your HawkSpine
20%
off HawkSpine with code "
HAWKSPINE20
"
REDEEM NOW
Offer valid until May 31, 2026
Software
Optimize your MRI with HawkCell’s software.
Try us now
Your are at one click to find a solution
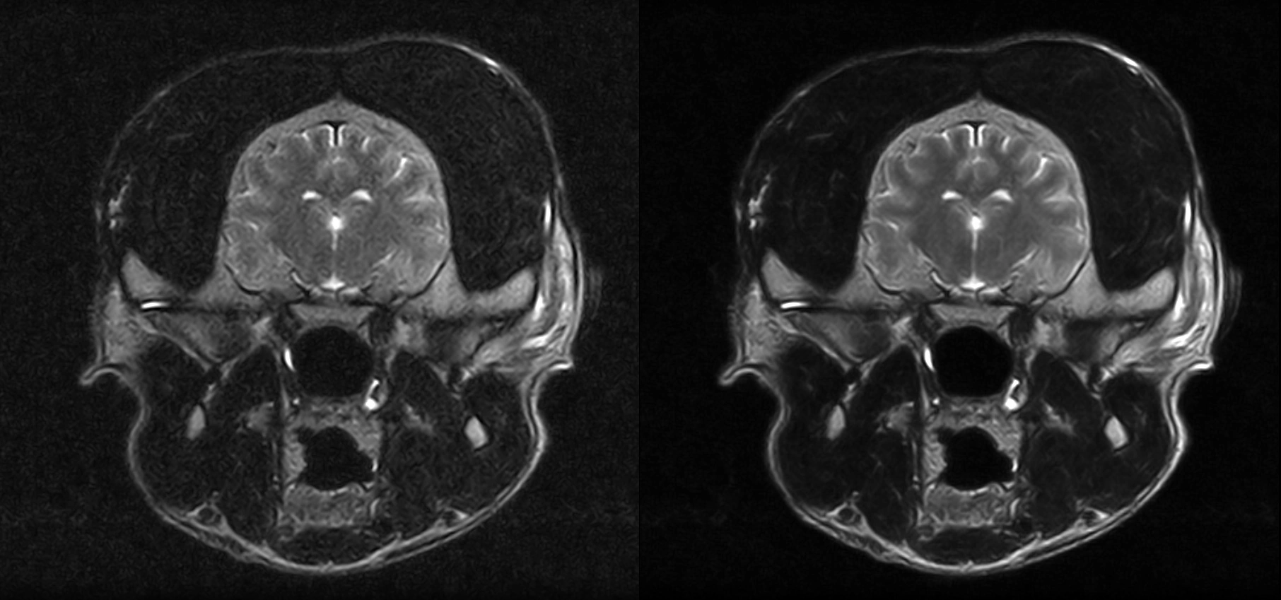
HawkCBCT
Discover more
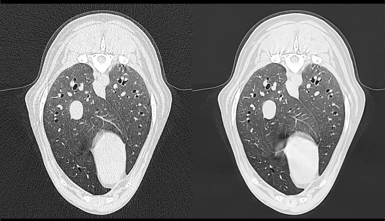
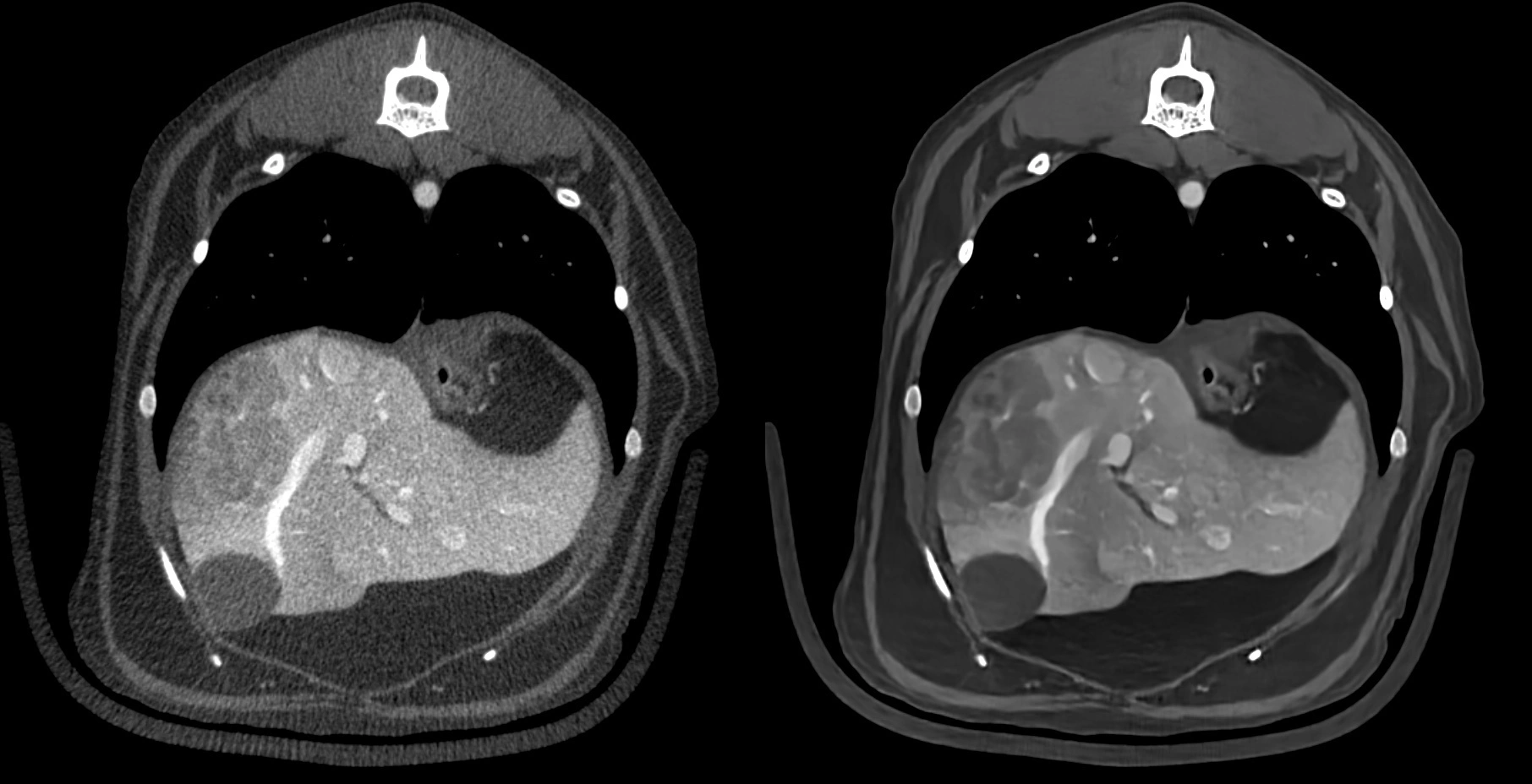
HawkCT
Discover more
HawkAI
Discover more
HawkProtocols
Discover more
Try us now
Schedule a discovery call with one of our representatives
First Name*
Last Name*
Work Email*
Message
I agree to receive marketing communication from HawkCell by e-mail
Please leave this field empty.
Δ
Close main menu
Home
Veterinarians
Researchers
Case studies
About us
Events
Careers
FR